分享:一份思路清晰の病例讨论
(发布日期:2017-12-10 点击次数:1585)
文章来源:小于大夫的超声角 作者:
小白大夫是我科新近“海归”的优秀大夫,刚从协和深造回来,她的回归,为我们日常的病例讨论引入了全新的活力。
特向各位推荐小白大夫最近一期病例讨论,言简意赅,思路清晰,一起看看吧?【15页】
【病例介绍】
【超声所见】
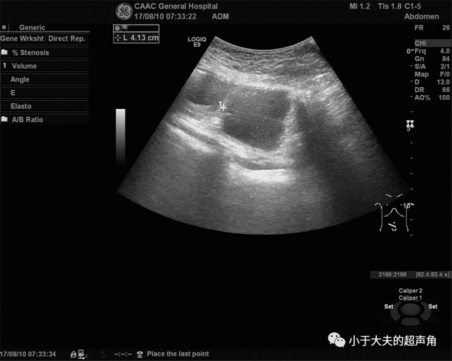
上图:检查时,发现多处肠管扩张,较宽处4.1cm,考虑存在梗阻。在梗阻肠管远端及周边仔细探查,以期发现更多异常之处。
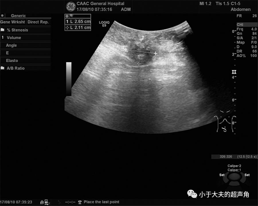
上图:果然,在紧邻肠管的既往手术切口处肌层内,发现不规则偏低回声,大小约4.2×3.0cm,边界模糊不清。
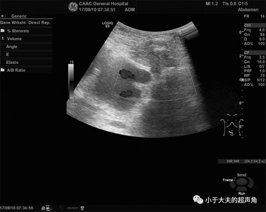
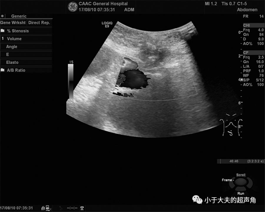
上图:CDFI:偏低回声内未见明显血流信号。
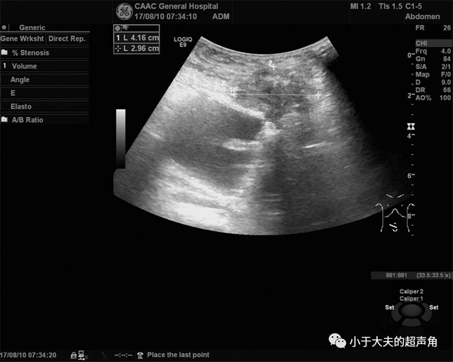
上图:既往切口深方另一处占位,边界模糊不清,内部回声减低不均。
上图:CDFI:内部也未探及明显血流信号。
【病例讨论】
病例讨论,不应仅仅是向同行们介绍一份病例,复习一下相关知识,而更应该是展现曾进行的思考和分析,分享自己的思路和经验。
感谢小白大夫为我们带来的这份精彩的病例讨论!

