(发布日期:2017-12-10 点击次数:1519)
文章来源:超声拾贝 作者:nxx
本组报告6例局灶性颈动脉炎病例;
临床相关
所有6例患者颈部主要症状均表现为疼痛和局部压痛,右侧4例,左侧2例,平均年龄为51岁(范围37-71岁),其中男性2人,女性4人。没有一名患者有外伤及全身感染病史;
诊断要点
1.颈部疼痛侧的局部区域颈动脉壁局灶性增厚;
2.局部增厚部位的血管腔轻度狭窄;
3.未见钙化及增厚区CDFI未见血流显示;
4.非甾体类抗炎药(NSAIDs)与糖皮质激素治疗症状消失,局部增厚区消失或无进展;
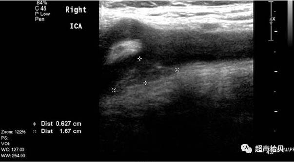
图1.男,37岁,右侧颈部疼痛部位,右侧颈总动脉纵切面(CCA)的分叉处颈动脉后方病变;
图2.男,左侧颈总动脉的横断面声像图,颈总动脉外侧壁的颈动脉病变,对侧对比正常。
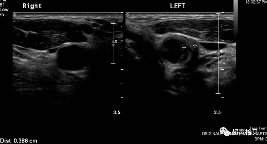
图3,女,71岁;颈总动脉A,远端低回声增厚。 B,彩色多普勒在局灶性增厚中没有显示可检测的血流的;ICA 颈内动脉
图4.女,41岁,左侧颈部疼痛。 A,颈动脉病变位于右前方 B,用非甾体抗炎治疗后消失;CCA颈总动脉。
鉴别诊断要点:
常常与动脉粥样硬化斑块鉴别
1.患者的年龄较小,我们的六例病例中小于50岁;
2.局部增厚向外扩展至血管壁(以中膜和外膜受累明显),不同于动脉粥样硬化,其通常表现为在内膜层
3.病灶内未见钙化
4.病变快速消失(通常NSAID或皮质类固醇治疗后),而动脉粥样硬化斑块往往是长期存在的。
5.对侧颈动脉往往正常;
临床知识延伸
单侧颈部疼痛
口腔,口咽和腺体的感染(淋巴结炎,唾液腺炎和甲状腺炎)
偏头痛
三叉神经痛
头颈部肿瘤
颞下颌关节综合征
颈椎病
stylalgia综合征
孤立性颈动脉疼痛
颈动脉瘤
颈动脉体瘤
颈动脉夹层
急性颈动脉闭塞
大血管血管炎(即巨细胞动脉炎)
肌纤维发育不良
总结
单侧颈部疼痛患者,特别是年轻患者,我们要想到颈动脉炎的可能,超声可以便捷快速的对颈动脉进行评估,超声发现颈动脉壁局部增厚,可用NSAID或糖皮质激素治疗,治疗后症状,往往局部增厚区消失;
本文参考文献来源J Ultrasound Med. 2017 Dec;36(12):2605-2609.

