科普文:甲状腺乳头状癌
(发布日期:2017-12-10 点击次数:1712)
文章来源:迈瑞医学影像
患者,男,22岁。体检发现甲状腺肿块1月,无声嘶。一般情况好。
甲状腺超声
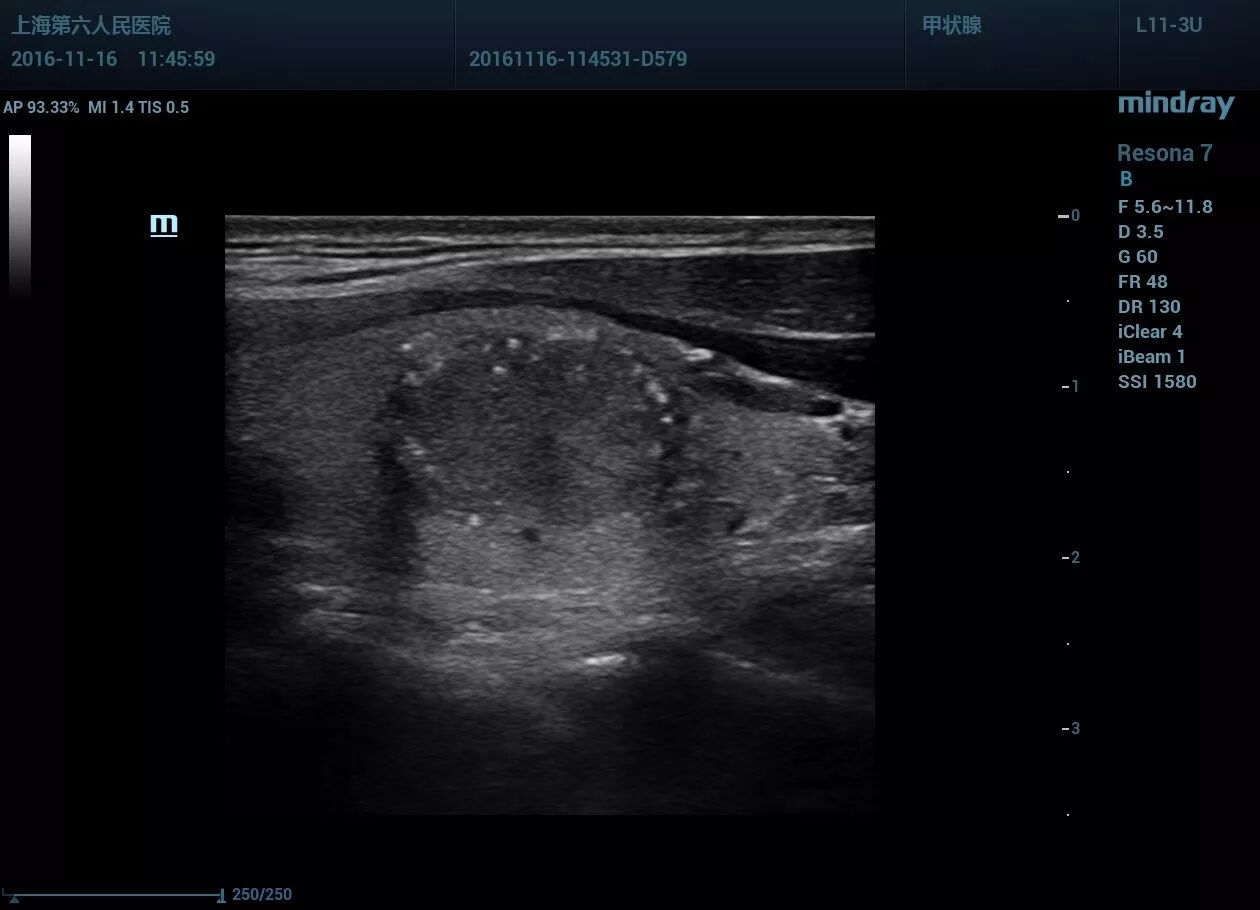
(2016-11-16 上海市第六人民医院)
甲状腺左叶见一低回声区,大小约14*13*18mm,形态尚规则,部分边界欠清晰,内见点状强回声。CDFI显示血流信号丰富。左侧颈部VI区一淋巴结见高回声区。
应变式弹性评分:5分。剪切波弹性,横断面Emax94kpa,纵断面Emax123 kpa,远远大于良性病变的杨氏模量范围。纵切面显示肿块周边见深红色的不连续“硬环”。
超声诊断:
1.甲状腺左叶实性结节伴微小钙化,弹性评分硬度高,考虑甲状腺Ca可能。
2.左侧颈部VI区淋巴结转移可能。
在做超声检查后行:
左侧甲状腺切除术+右侧甲状腺次全切除术+颈部淋巴结清扫术
术后病理:
(左甲状腺):甲状腺乳头状癌(直径1.5cm)。
(左气管前+左中央区淋巴结):淋巴结(1/1枚)见癌转移;另见甲状旁腺及胸腺组织。
甲状腺乳头状癌基因检测:
V600E:突变
结论:BRAF基因V600E突变阳性。
超声弹性双模态的价值:
我们的经验显示:超声双模态弹性成像在结合二维常规彩超图像后,若应变式弹性高分值(5分),且剪切波弹性样式模量Emax大于90kpa,双模态都显示硬度值异常,则基本锁定该肿块为甲状腺癌(而且往往是甲状腺乳头状癌,因存在微钙化砂砾体),至于是否与BRAF基因突变存在较高相关性则有待进一步大样本分析。

