(发布日期:2017-12-10 点击次数:1768)
文章来源:超声拾贝 作者:nxx
粘液瘤是心脏中最常见的肿瘤。 典型的粘液诊断是相对的容易。 然而,某些心脏粘液瘤具有罕见的特征。我们报告了三种非常罕见的心脏粘液瘤病;
病例一:瓣膜成形术后三尖瓣环粘液瘤
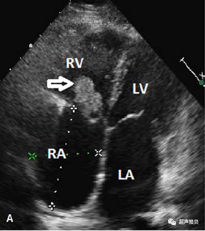
50岁的妇女,因间歇性寒颤及发烧在心脏外科接受治疗1个月;2年前,曾行房间隔缺损及三尖瓣成形修复术,三尖瓣为32号爱德华兹成(EdwardsLifesciences,尔湾,CA)体检:37.48c体温,98 /分心率,血压140/100毫米汞柱,不规则的心脏节律,并在瓣膜听诊区无病理性杂音。经胸超声心动图显示右心室一个带蒂移动肿块(30 3 23毫米),源自三尖瓣环附近后隔三尖瓣后隔,通过三尖瓣口室环,脱入右心房(图1A和视频1)。这一肿块导致舒张功能性三尖瓣狭窄(图1B和录像2)。左心房和右心房增大。心电图显示房颤。
值得注意的是,在房间隔缺损修术前或在术后一年的常规超声心动图检查(图1,C和D)中没有发现肿块,这一发现表明在随后的一年中肿块迅速增长。临床上怀疑有恶性肿瘤,血栓不能排除因为病人表现出持续性房颤和三尖瓣成形环的潜在血栓形成的基础。患者随后接受了肿瘤切除术。一个草莓状的褐色肿块,光滑表面附着后间隔观察到细蒂与三尖瓣之间的连接(图1E)。最终切除了肿块,用心包补片修复三尖瓣环缺损。肿块的组织病理学检查显示粘液瘤与血栓(图1F)。
视频1
视频2
图1.病例1.
A,经胸超声心动图显示三尖瓣瓣膜环的肿块(箭头表示粘液瘤)。
B,彩色多普勒显示三尖瓣的前向流受阻加速。
C,在初次房间隔缺损修复和三尖瓣血管成形术后不久超声心动图未显示三尖瓣膜瓣环的肿块。
D,在初次房间隔缺损修复和三尖瓣血管成形术后不久彩色多普勒显示三尖瓣前向血通畅。
E,切除的30320mm质量,包括心房的边缘。
F,组织病理学检查表明有血栓形成松质性粘液质基质(苏木精和伊红,3200)。
RV,右心室; RA,右心房; LV,左心室; LA,左心房; AV,主动脉瓣。
本病例来源:J Ultrasound Med. 2017 Nov;36(11):2361-2366.

