(发布日期:2017-12-10 点击次数:2288)
文章来源:超声拾贝 作者:nxx
例例2::左心房血栓和严重二尖瓣狭窄相关的粘液瘤
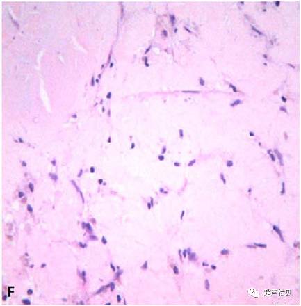
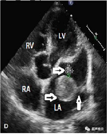
案例2一个70岁的男子劳累后呼吸困难10天。这个病人2年前被诊断出患有糖尿病。体检发现368c体温,心率50和明显的心尖舒张中期杂音。心电图显示窦性心动过缓、房室传导阻滞的一级。经胸超声心动图显示左心房增大,二尖瓣瓣叶增厚(图2a),动度减低,瓣口面积是0.6平方厘米,左心房前壁广泛的一个低回声肿块(42 3 23毫米)固定的,不活动;另一个前房间隔不规则形肿块(2,B和C图)。另外左心房两个球型中度到高回声肿块。两肿块似融合,较大的肿块有一个长的蒂连接到左心房侧壁,具有明显的动度(图2d和视频3)。这些肿块在舒张期未进入二尖瓣口。轻度主动脉瓣关闭不全,也被检测到。病人的肺动脉收缩压为78毫米汞柱。由于患者患有典型风湿性心脏瓣膜病,故诊断为左房混合血栓。冠状动脉造影显示右冠状动脉远端有一个长约70%个狭窄的病变,行二尖瓣置换术、冠状动脉旁路移植术和肿块切除术。二尖瓣增厚、钙化、纤维化、漏斗状狭窄和关闭不全。它被替换为27号生物人工爱德华瓣。左心房的肿块附着于侧心房壁,在手术过程中也被认为是混合血栓。然而,这些肿块标本显示不同颜色(图2e),组织学显示指示粘液瘤伴随血栓特点(图2F)。
案例2。A.经胸超声心动图诊断重度二尖瓣狭窄。
B.经胸超声心动图显示左心房前外侧壁的扁平肿块(箭头表示血栓)。
C,鉴于前面的图像,探头扫描稍向后,在房间隔发现是另一个形状不规则的肿块(箭头指示血栓)。
D,两个圆形肿块在左心房发现;有蒂(箭头指示粘液瘤)。
E.左心房切除肿块的大体解剖标本。
F、肿块的组织疏松的粘液样基质,伴有血栓(HE,3,200)。
右心室;右心房;左心室;LA;左心房;AO,主动脉。
本病例来源:J Ultrasound Med. 2017 Nov;36(11):2361-2366.

