(发布日期:2017-12-10 点击次数:2037)
文章来源:超声拾贝 作者:nxx
腹内疝的超声诊断
腹内疝的超声表现:
(1)小肠梗阻,表现为肠管扩张,蠕动增强;
(2)扩张和非扩张肠管间有过渡区;
(3)小肠堆积成团并受压,好像是被袋子包裹着一样。这种表现出现在过渡区的远端一侧;
病例报道
病例1:
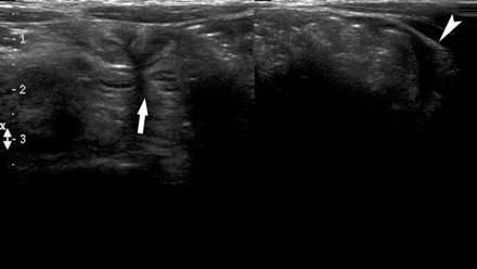
一位25岁的男性患者出现心口疼和呕吐,由于经过对症的治疗后症状没能缓解,所以来做超声检查,发现多处的小肠扩张,蠕动亢进,提示小肠梗阻。扩张和非扩张的临界点位于脐上正中,扩张肠管位于右侧(图1)。临界区的肠管没有发现内在的异常。
图1 脐上斜向扫描显示在扩张和非扩张肠管间存在过渡区(箭头)。
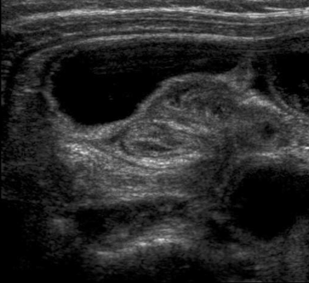
临界区左侧的部分小肠肠管塌陷(图2),看不到蠕动,表现为肠管的受压和堆积,好像被紧紧地填入一个囊内。
图2 过渡区左侧横向(A)和纵向(B)扫描显示肠管堆积成团并受压,好像在疝囊内紧紧的压在一起。
腹腔镜检查,发现一个十二指肠左侧的腹内疝,并予以了适当的修复;
病例2
一8岁男孩出现急性右侧肋缘疼痛并呕吐。超声显示小肠梗阻。扩张和非扩张小肠肠管临界区位于右侧髂窝(图3),此区域右侧和上方的小部分的小肠肠管堆积受压成胶囊状,蠕动消失(图4)。诊断为腹内疝导致的小肠梗阻。病人而没有再做其他检查进行了手术治疗。
图3 右侧髂窝斜向扫描显示扩张和非扩张肠管的过渡区(箭头)。
图4 过渡区右上斜向扫描显示肠管堆积成团并受压。
病例3
1岁大的女婴突发持续性呕吐近24小时。临床诊断为中肠旋转不良而进行超声检查,显示小肠明显的扩张,蠕动亢进,提示小肠梗阻。临界区位于右侧髂窝(图5),其右侧的部分的小肠肠管堆积受压(图6)。患儿不能承受其他的影像学检查。由于保守治疗后没能出现改善,患儿进行了腹腔镜检查,发现是盲肠旁的腹内疝导致的小肠梗阻。
图5:右侧髂窝斜向扫描显示过渡区(箭头)。
图6:横向扫描显示肠管堆积成图并受压。
病例4
6岁大的女孩出现腹痛并呕吐,脐部左上有一不清晰的肿块,此次发作的大约10天前曾有过持续约数小时的类似症状,临床考虑肠套叠。超声显示脐部左侧有2处扩张的肠管,临界区位于中线处,这2处肠管有薄的包膜覆盖—之所以能看到包膜是因为囊内和腹腔存在少量积液(图7)。病人没有做进一步的检查,根据其临床病情进行了腹腔镜检查,发现十二指肠左侧的腹内疝,在疝囊内存在扩张的肠管,这是因为疝囊颈部的输出端肠管梗阻而导致的。
图7:左侧腹部的组合横向扫描显示疝囊内的扩张肠管(短箭头),疝囊周边的液体表明了其轮廓,过渡区位于疝囊的颈部(箭头)。
总之,超声可以辨认腹内疝的特征。如果发现这些征象,超声可以做出腹内疝的诊断。
(本文图片来源于J Ultrasound Med2006; 25:105–110,部分文字翻译摘自丁香园超声版xihuansushi站友)

