这个孩子(腹痛)的超声检查有问题吗?
(发布日期:2018-02-27 点击次数:1689)
作者:杨泽胜 文章来源:小于大夫的超声角
今天给大家带来的是杨泽胜大夫(天津儿童医院)的一份精彩病例,大家一起看看吧?
患儿因腹痛一日余就诊,精神可,生命体征平稳,无手术史。
行超声检查,发现一些不一样的声像图表现:
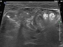
图1~2:腹部探查,见些许点状高回声沿着肠壁朝一定方向快速移动,轨迹如“过山车”一般。
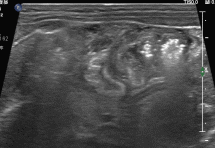
图3:肝区探查,见大量点状高回声相互簇拥着通过门静脉主干,涌入肝内;与此同时,可见肝左叶已散落分布着点、线状高回声,声影不明显。此外,肝周可探及少量不规则液性区。
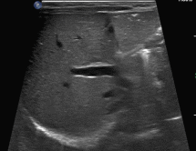
图4:局部放大,可见大量点状高回声如车流般快速的通过门静脉“主干道”。
请问,这个孩子的超声检查有问题吗?
这不断涌现的点状高回声,究竟是什么?

