(发布日期:2018-02-27 点击次数:1957)
作者:杨泽胜 文章来源:小于大夫的超声角
我们先回顾一下这份病例:
患儿,女性,1岁2个月,因腹痛一日余就诊,精神可,生命体征平稳,无手术史。
行超声检查,发现一些不一样的声像图表现:
图1~2:腹部探查,见些许点状高回声沿着肠壁朝一定方向快速移动,轨迹如“过山车”一般。
在小肠肠壁上分布的小静脉多环抱肠管,沿肠管短轴或近短轴分布,故声像图中的点状高回声,如“坐过山车”般,沿小肠的短轴切面(或近短轴切面)流向小肠的肠系膜侧,汇入肠系膜上静脉的属支,最终汇入肠系膜上静脉(主要收集空回肠、结肠左曲及胃回流的静脉血)。
图3:肠系膜上静脉及其属支示意图,注意肠壁上“环抱”的小静脉,及其汇合成的袢状的肠系膜上静脉各属支。
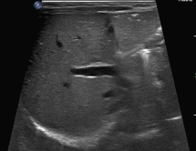
图4:肝区探查,见大量点状高回声相互簇拥着通过门静脉主干,涌入肝内;与此同时,可见肝左叶已散落分布着点、线状高回声,声影不明显。此外,肝周可探及少量不规则液性区。
门脉系统的核心在于门静脉。与其他动静脉体系不太一样(★),门静脉直接连于两套毛细血管网之间,将一端毛细血管网的静脉血(来自肠道及脾脏,通过肠系膜上静脉和脾静脉),“整合”后一同输送至另一端肝脏内毛细血管网中。
这有点像清晨的京通快速路和八通线,将乌泱乌泱的通州白领们集结于高速收费站、地铁站,再一并送往国贸CBD金融中心,之后分派入各个高层写字楼中,去完成他们各自的工作。
(★)血液循环的一般模式:动脉不断分支成小动脉,而小动脉的末端形成毛细血管网,另一端则汇集于小静脉,诸多小静脉再逐步汇合成大静脉,比如四肢血管。
不仅肝脏有这样独特的门脉系统,胆周、胰岛也有类似的门脉系统。这些门脉系统的存在,往往是为适应器官的特殊功能而存在的。在肝脏,门脉系统的作用主要是为将胃肠吸收的营养物质,加工储存于肝细胞,或输送入体循环之中。
图5:局部放大,可见大量点状高回声如车流般快速的通过门静脉“主干道”,是不是很像清晨拥拥攘攘的京通快速路?
图6:川流不息的京通快速。
接着,一起聊聊门脉系统积气吧。
门脉系统积气,英文名Portomesenteric Vein Gas,简称PVG,最早由Wolfe和Evans于1955年报道,得益于影像医学的发展,PVG逐渐为人们所熟悉。
PVG并非独立性的疾病,常伴发于消化系统疾病,最常见于肠缺血和肠坏死,也可见于一些非消化道疾病,如败血症、腹部感染等。就如评论区黎小玲大夫说的那样,PVG要警惕NEC,即新生儿坏死性小肠结肠炎,但两者并不等同,不是一看到PVG,就是NEC,更何况这例患儿已1岁2个月。(原谅小于大夫上篇特意没提及患儿年龄,有细心的学友发现了,赞~)此外,还有约15%的PVG原因不明,为特发性的。
PVG并非都是致命性的,也可见于炎性肠病、移植物抗宿主病等非致命性疾病,比如这例患儿,经杨泽胜大夫随访证实,恢复良好。随着医疗水平的提高,PVG患者死亡率已由当初的75~90%下降至30%,但依旧不可掉以轻心。
一般认为一种或多种因素联合作用导致PVG的产生:①肠壁黏膜破坏性改变;②肠腔内压力增高;③细菌感染,特别是产气菌感染。
①气体通过破坏的肠壁黏膜屏障进入肠壁小静脉,或②产气菌直接入血,是引发PVG的两种常见途径。
PVG的超声表现,上面4幅动态图已然诠释,此外,有文献指出门静脉内流动的气泡可于频谱多普勒上间断出现毛刺状频谱,有一定特异性,可辅佐我们诊断PVG。

