(发布日期:2018-02-27 点击次数:9699)
作者:nxx 文章来源:超声拾贝
1.概述
1) 蛛网膜囊肿(arachnoid cyst)是蛛网膜局部包裹 脑脊液积聚其中而形成,与颅内脑室系无沟通;
2)囊壁由蛛网膜细胞和胶原组成,囊肿可呈单腔 圆形 椭圆形或新月状,囊肿早期与蛛网膜下腔相通,因此有持续增大的可能性;囊壁内存有脉络膜丛样组织,这种异位组织可分泌脑积液,导致囊肿渐行性扩大;
3)蛛网膜囊肿分为先天性和获得性两种,前者为软脑膜发育异常所致,后者多继发与出血 外伤或感染;
4) 蛛网膜囊肿 大约占新生儿颅内占位的1%。蛛网膜囊肿通常位于主裂面上的大脑表面。通常,蛛网膜囊肿是位于幕上,60%位于中颅窝,在四叠体池10%,在鞍上池10%,在大脑凸面10%,和10%个在后颅窝;
2.超声表现
1)脑内脑中线第三脑室后方或颅后窝内圆形、椭圆形或不规则形囊性暗区,壁薄光滑。
2)与侧脑室等不相通。小脑蚓部大小正常;
3)CDFI:囊内未见明显血流信号。
4)继发改变:1、脑中线移位 2、脑积水 3、蛛网膜下隙积液或硬脑膜下积液(囊肿破裂)。
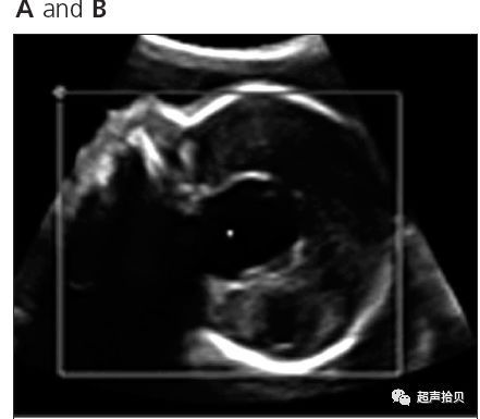
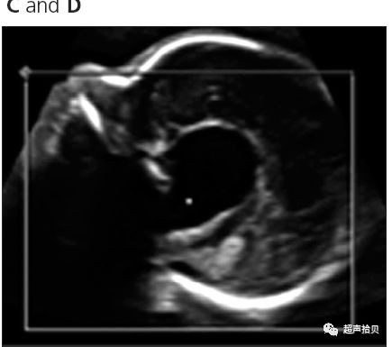
图1:横向声像图显示位于中线蛛网膜囊肿(C), 彩色多普勒没有血流显示;
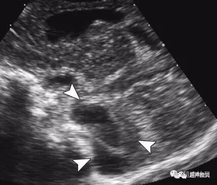
图2:冠状超声图显示位于后颅窝蛛网膜囊肿
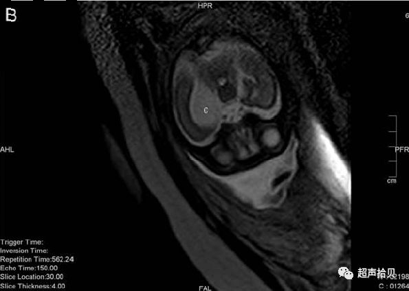
图3:位于颞窝的蛛网膜囊肿(C)。A:26周妊娠时横向超声扫查获得囊肿图像,彩色多普勒超声检查显示囊肿中没有流动。 B,28孕周产前核磁共振显示囊肿(C)位于颞侧窝(T2加权像[T2WI],横向平面)。 C,出生后1个月的产后MRI证实囊肿。(T2加权像[T2WI],横断面)
鉴别诊断
产前MRI有助于准确鉴别蛛网膜囊肿;
1)巨大小脑延髓池:容易与 蛛网膜囊肿相混淆,前者一般无大脑半球的占位效应和脑积水;但位于小脑后方中线部位的 蛛网膜囊肿仍然很难与巨大小脑延髓池鉴别;
2)Dandy-Walker畸形 小脑蚓部缺失、第四脑室及颅后窝池扩张,甚至脑积水;蛛网膜囊肿合并脑积水者小脑蚓部发育良好
3)正产变异
4)前脑无叶无裂畸形:大脑半球间蛛网膜囊肿与前脑无叶无裂畸形的背部囊泡混淆;
5)脑穿通性囊肿:囊肿位于脑实质内,与脑室系统想通,无占位效应,多数与产前产后脑损伤相关;
6)室管膜囊肿:发病率较蛛网膜囊肿低,易于侵犯额叶或颞顶叶的中央白质;
图4:图4A,25次妊娠时获得的横向声像图。 病变最初被诊断为蛛网膜
囊肿(C)伴有出血(H)。 B,妊娠26孕妇的产前MRI T2加权横向图像显示硬脑膜窦性畸形(D)合并血栓形成(T)
以上图片来源J Clin Ultrasound. 2017 Oct 6. doi: 10.1002/jcu.22532
预后
蛛网膜囊肿的预后与是否合并其它畸形 脑实质出血 囊肿生长速度和脑室扩大程度
多数蛛网膜囊肿在产前保持平稳,但随着妊娠的进展,部分可能由于占位效应导致脑积水;
1)伴有脑内其他任何结构异常者预后不良。
2)合并脑积水者预后不良。
3)随访囊肿增大,继发脑积水者,预后不良。
4)位于颅后窝囊肿往往合并脑积水,预后不良。
5)部分病例在出生前或出生后自行缓解,80%-90%智力正常。
6)由于染色体畸形(主要是18-三体)可合并蛛网膜囊肿,因此,检出囊肿应行染色体核型分析。
病例分享1
超声表现:晚孕胎儿在垂体窝发现一圆形无回声囊肿,大小25-27mm。该囊肿使威利斯多角形扩张但囊肿内无血流。
一系列图像提示囊肿向下方颅咽管腔延伸。囊肿位于蝶鞍上区
在孕39周正常分娩出一重3200克的男婴。该新生儿无并发症且头围正常,神经系统检查正常。磁共振证实为蛛网膜囊肿。
病例分享2
脑半球间的蛛网膜囊肿误诊脑膨出病例
患者,25岁,G1P0,孕13周时进行检查。既往病史无异常。超声检查发现,但胎儿看上去像是颅骨缺失并且伴有明显的脑膨出,呈15×12mm。
患者被告知胎儿异常并选择终止妊娠。就在次之前进行了羊膜穿刺术,显示核型正常(46,XX),AFP正常。进行了病理生理学分析,诊断不存在脑膨出,实际上是脑半球间的蛛网膜囊肿导致的颅骨膨大
病例分享3
脑半球间的蛛网膜囊肿
怀孕第32周,23岁,G3P2 ,无异常病史,生化三联测试为阴性。 这里是我们获得的一些图像
图1,2 二维超声:孕32周:经胎儿颅骨的横切面显示第三脑室扩展,脑半球间的蛛网膜囊肿扩展至右侧
图像3,4:二维超声检查; 怀孕32周; 通过胎儿颅骨的冠状面显示扩张的侧脑室和半球囊肿向右延伸
图像5,6:彩色多普勒(图像5,左)和2D图显示脐带两根血管
图像7:3D图像 - 正常的胎儿脸部
图像8,9:MRI; 怀孕32周; 通过胎儿颅骨的横切面显示扩张的侧脑室和主要的半球间囊肿向右延伸。
图像10,11:MRI; 怀孕32周; 横向(图像11,左侧)和旁矢状切面(图像12,右侧)穿过胎儿颅骨显示扩张的侧脑室和半球囊肿。
病例分享1-3来源下面网站
https://sonoworld.com/TheFetus/Home.aspx
病例分享4:一个鞍上蛛网膜囊肿的产前诊断:二维三维超声和胎儿磁共振成像
27岁妊娠24周的胎儿进行常规扫描,在胎儿脑的中线上或第三脑室区域检测到直径约25mm且无多普勒流的圆形无回声肿块。
侧脑室大小稍微增加(11mm),并且没有看到其他异常。
家属被告知这些发现,并给出鉴别诊断,包括蛛网膜囊肿和鞍区或鞍上区囊性肿瘤。脑穿透性囊肿被排除,因为他们个占位效应。
此外,颅内出血也因形态和无回声外观而被排除。 感染标记筛选结果均为阴性;
图1A,妊娠24周后胎儿的矢状面,中线囊肿直径25毫米。 B,胎儿的横断平面脑室扩大,中线囊肿。
一周后,进行第二次扫描以评估进展性结果。 囊状结构和侧脑室分别扩大到28×25毫米和13毫米大小。 矢状位图显示脑干向后位移,阻塞脑室循环(图2,A和B)。 胼胝体正常发育,血流正常,无颅内压增高(图2C)。 三维超声显示孤立的圆形囊状结构(图3)。 使用产前超声检查结果进行胎儿MRI并确认鞍上位置(图4)。 怀疑是蛛网膜囊肿,囊肿和蛛网膜下腔之间可能存在解剖联系的球阀机制被认为是囊肿扩大的原因;
图2:A妊娠25周后胎儿的矢状面。 B,囊肿和侧脑室在1周内增大至28×25和13mm。 C,矢状彩色多普勒图像显示胼胝体前动脉血流;
图3胎儿在妊娠25周时从表面到颅骨的三维图像。 A和B,胎儿的表面部分和面部图像。 C和D,胎儿脑部更深的三维切片。 E和F,三维切片显示胎儿脑中的蛛网膜囊肿(箭头)
图4:妊娠26周时的产前MRI:第三脑室蛛网膜囊肿的横向(A),矢状(B)和冠状面(C)平面引起脑室扩张
图5:出生后1周进行T1加权轴位MRI扫描。 侧脑室的后角和前角,特别是第三脑室,被蛛网膜囊肿占据。
本病例来源
J Ultrasound Med. 2010 Oct;29(10):1487-93
病例分享5
鞍上蛛网膜囊肿
图1;25周胎儿获得的产前超声图。
(A)冠状,(B)轴向和(C)矢状面。 中线部位3CM囊性病变(箭头)
图2:出生后5膈月MRI图像
本病例来源:J Clin Ultrasound. 2006 Feb;34(2):92-4.
病例分享6
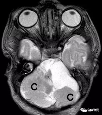
足月,大1天新生儿,有蛛网膜囊肿和复杂性后颅窝移位。(a)。超声下左矢状缝旁切面显示小脑前桥小脑角部位脑积水(箭头)(b)超声下经乳突部横断扫查,脑积水范围变大(箭头)。白箭标识为双侧颈内动脉(c)MRT2W横断扫描证实了超声结果,同时在左侧显示偏小的,发育不全的小脑(C)(d)。MRT1W左矢状缝旁切面显示病变与(a)相似
本文病例来源

