(发布日期:2018-06-04 点击次数:3044)
文章来源:超声时间 作者:张科( 3201医院功能科超声室)
患者中年男性,以「间断性上腹部疼痛 7 年余,发作加重 1 周」就诊。超声检查发现胆囊结石、胆囊炎并肝门区胆总管扩张(图 1)。
图 1 A 示肝门处胆管轻度扩张;图 B 示胆囊囊壁增厚,粗糙,囊内见强回声,后伴声影,随体位改变而移动
结合超声表现和临床体征,患者同意行腹腔镜下胆囊切除术,术中采用生物夹(中等回声)夹闭胆囊管及胆囊动脉,完整切除胆囊。患者术后恢复良好出院,嘱定期复查。
术后 1 月患者空腹行门诊超声复查,发现胆囊窝处探及疑似「胆囊」轮廓(图 2),肝门处胆管轻度扩张(图 3)。在多次核对患者信息及查看患者住院病历后请上级医师会诊,嘱患者食两个油煎鸡蛋 30 分钟后再次检查,发现胆囊窝处未见异常,肝门处胆管未见扩张(图 4)。
图 2 胆囊窝处探及「胆囊」轮廓,疑似「胆囊」
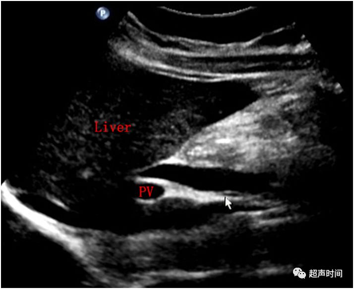
图 3 肝门处胆管轻度扩张,管壁光滑,管壁内回声清晰(白色箭头)。PV:门静脉
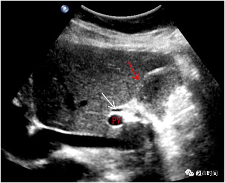
图 4 患者食用两个油煎鸡蛋 30 分钟后再次检查:多切面示第一次检查时发现的胆囊窝处「胆囊」大小较空腹时未见明显改变,其轮廓回声连续中断(红色箭头),多次变换体位和加压探头后均未见「胆囊」内回声变化,考虑所谓「胆囊」回声实际为肝组织;肝门处胆管内径缩小至正常(白色箭头)。PV:门静脉
病例讨论
在此病例中,明确患者胆囊已切除 1 月,但在超声检查时发现胆囊窝处疑似「胆囊」回声。新手若不注意临床信息及不询问病史的情况下很容易误判为胆囊存在、胆囊内胆泥形成伴肝外胆管轻度扩张。
胆囊切除后胆囊窝的常见异常包括:包裹性积液和盲端扩张。然而,肝组织误判为胆囊的情况较为少见,这与检查医生的自身经验有关。
杜绝将肝组织误判为胆囊的绝招:
① 关注临床信息,养成问病史的好习惯;
② 让患者变换体位或者用探头压一压「胆囊」,如果出现细小点状回声浮游则为液性,可考虑为胆囊内胆泥淤积、包裹性积液、盲端可扩张;
③ 多切面仔细观察,若「胆囊」轮廓回声连续中断,可考虑为肝组织、包裹性积液、盲端扩张,详细了解到手术中使用夹子的超声回声有助于判定;
④ 彩色多普勒血流成像有助于鉴别实性与液性;
⑤ 在自己无法明确判定的情况下会诊上级医师。
在此病例中,通过临床信息和询问病史了解到患者 1 月前胆囊完整切除,术中使用夹子为生物夹(中等回声)。在自己没有足够证据判定时选择会诊上级医师,多切面示第一次检查时发现的胆囊窝处「胆囊」轮廓回声连续中断(图 4),在患者多次变换体位或加压探头后未见「胆囊」内回声变化。嘱患者食两个油煎鸡蛋 30 分钟后再次检查「胆囊」大小较空腹时未见明显改变,肝门处胆管内径缩小至正常(图 4)。此病例的「胆囊」轮廓回声可能为韧带回声,「胆囊」为肝组织。
参考文献:
[1] 贾译清. 临床超声鉴别诊断学 [M]. 江苏:江苏科学技术出版社.1996:261-330.

