(发布日期:2018-06-10 点击次数:4711)
文章来源:超声时间 作者:李志勇 何真 陈艳屏(景德镇市第二人民医院)
患者男,33 岁,因高血压 5 年就诊。患者血压波动在(150~180)/(90~110)mmHg,药物控制不满意。临床医生申请行双肾动脉超声检查。
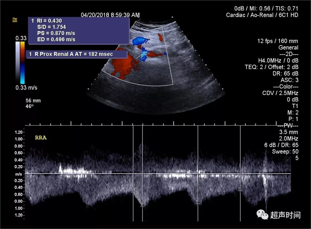
超声检查发现双侧肾主动脉起始段阻力指数(RI)明显减低,且加速时间(AT,正常 ≤ 70 ms)明显延长:右肾动脉流速 87/49 cm/s,RI 0.43,AT 182 ms;左肾动脉流速 93/60 cm/s,RI 0.35,AT 204 ms(图 1)。
考虑肾主动脉近心端存在狭窄,遂向近心端扫查。发现腹主动脉呈「小慢波」改变,流速 40/21 cm/s,RI 0.47,AT 133ms(图 2)。
胸骨上窝主动脉弓切面探查见降主动脉局部管径变窄约 8 mm,局部血流加速,峰速 364 cm/s(图 3 和视频 1)。
心脏超声检查见主动脉瓣呈左前右后二瓣化畸形,瓣膜开放时呈「鱼口」状,关闭时呈「一」字形(图 4 和视频 2)。
超声诊断:主动脉缩窄并二叶主动脉瓣畸形,双肾动脉和腹主动脉频谱改变符合狭窄后特征。
图 1 双侧肾主动脉起始段加速时间(AT)明显延长。RRA:右肾动脉;LRA:左肾动脉
图 2 腹主动脉频谱呈 「小慢波」改变
图 3 和视频 1 胸骨上窝主动脉弓切面显示主动脉缩窄湍流血流信号(箭头示)及连续多普勒测量血流速度
图 4 和视频 2 大动脉短轴切面显示主动脉瓣二叶畸形(箭头示)
病例讨论
本例中,患者因顽固性高血压就诊,超声发现双侧肾动脉呈流速减低、AT 延长的 「小慢波」表现,而向上追查腹主动脉,同样为「小慢波」改变,进而于胸骨上窝处检查主动脉弓降段,从而发现致病根源:降主动脉狭窄。
主动脉缩窄(Coarctationof aorta ,CoA)较为罕见,可单独存在,但常伴有其它心血管畸形,如主动脉瓣畸形、动脉导管未闭、室间隔缺损等。
CoA 是指主动脉的任何部位发生的局限性狭窄或闭塞,可发生于主动脉弓至髂动脉分叉处之间的任何部位,但大部分(约95%)的狭窄发生于主动脉峡部。
1903 年 Bonnet 等将动脉导管近端弥漫性狭长的 CoA 称为婴儿型缩窄,而将动脉导管与主动脉连接区域内的局限性狭窄称为成人型缩窄。1951 年 Johnson 等根据缩窄与动脉导管的位置分类为导管前型与导管后型缩窄。
因此,超声检查中一旦发现某处血流加速时间延长或「小慢波」改变时,应注意排除其近心端存在狭窄。若发现为主动脉缩窄,则应行心脏超声以排除合并畸形。
超声检查可显示 CoA 局部管腔狭窄,管壁增厚,CDFI 可见狭窄段湍流血流信号,连续多普勒显示狭窄段高速湍流频谱。 CTA、MRA 及 DSA 可作为进一步检查或确诊方式。
参考文献
[1] Stark J,de Level,朱晓东. Surgery for congenital heart defects [M]. 第2版. 北京:人民卫生出版社,1996.250-263.
[2]Johnson AL,Fe renecz C,Wigleswoth FW, et al. Coarctation of the aorta complicated by patency of the ductus arteriosus. Physiologic considerations in the classification of coarctation of the aorta [J].Circulation.1951,4:242-250.

