(发布日期:2018-06-19 点击次数:2987)
文章来源:超声时间 作者: 张科(3201医院功能科超声室)
三房心(cor triatriatum)是一种少见的先天性心脏病,包括左房三房心、右房三房心和其他类型的变异。其中,左房三房心相对较常见,约占先心病的 0.1%~0.5%,右房三房心和其他类型变异罕见。
下面的病例为患者无明显不适体检时的偶然发现。
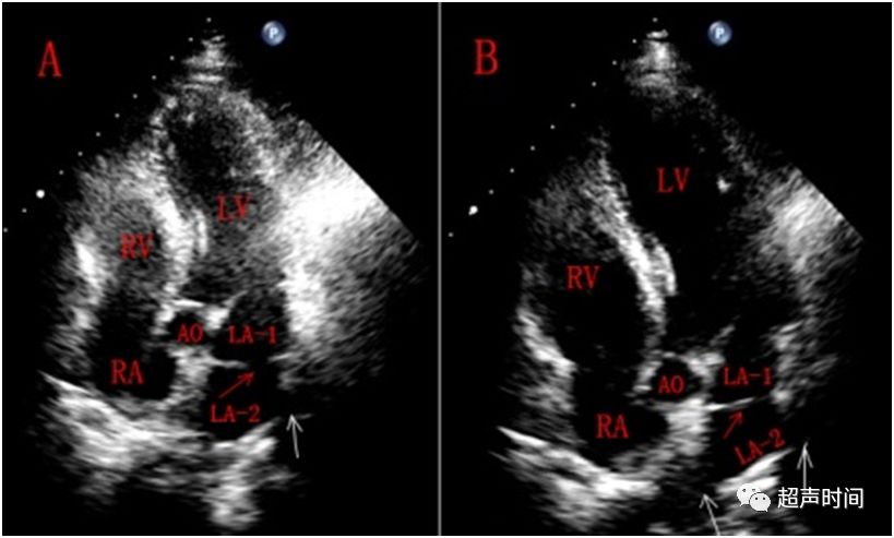
图 1 心尖五腔心切面。左心房内见隔膜样回声(红色箭头),经左心房外侧壁至房间隔中部,将左心房分为两个心腔,隔膜中央回声中断(红色箭头),似见三支肺静脉(白色箭头)开口于副房(LA-2)
图 2 剑下两腔心切面。左心房内见隔膜样回声(红色箭头),经左心房外侧壁至房间隔中部,将左心房分为两个心腔,隔膜中央回声中断(红色箭头)
图 3 隔膜中央回声中断形成交通口(红色箭头),舒张期副房(LA-2)内血流通过交通口进入真房(LA-1)
图 4 脉冲频谱多普勒示隔膜中央交通口真房侧连续性湍流频谱,峰速约 71 cm/s
随后,患者去上级医院检查,经食道超声确诊为单纯性左房三房心。由于患者无明显的临床表现,其他如心电图、胸片也均无异常发现,临床并未给予进一步处理治疗。
病例讨论
三房心分型
目前三房心的 Bank 分型最为常用。根据副房接受肺静脉回流的程度分为 Ⅰ 型(部分型)和 Ⅱ 型(完全型),再根据真房与副房有无交通分为 A(有交通)和 B(无交通)亚型。
超声表现
典型左房三房心表现为经多切面证实存在的左心房内异常隔膜样回声,此隔膜将左心房分为两个心腔(真房和副房)。隔膜中央和(或)边缘可存在 1 个或多个连续性中断,真房与副房通过此缺损口相通。CDFI 可显示隔膜缺损处的血流通过,表现为舒张期为主的连续性湍流血流。若隔膜缺损口较小,可导致副房增大,临床表现出类似二尖瓣狭窄的血流动力学改变及临床表现。
三房心可合并其他畸形,如最常见的房间隔缺损以及室间隔缺损、动脉导管未闭、右室双出口、肺静脉异位引流等,检查时应予以注意。
鉴别诊断
心房内隔膜假象:患者体型及超声设备原因均可导致心房内出现类似隔膜回声的假象,此时应多切面多角度观察。经胸超声心动图无法明确时,应建议行经食管超声心动图明确。
冠状静脉窦扩张:扩张的冠状静脉窦走行于左房后下方,开口于右房,四腔心切面基础上向后下方倾斜探头,至房室瓣消失时可清楚显示。单纯性左房三房心的真房借隔膜上的缺损口与副房相通和借二尖瓣与左室相通。
完全性肺静脉异位引流:完全性肺静脉异位引流时肺静脉汇合成一支粗大的肺静脉主干紧贴在左心房后方,压迫左心房走行,在经胸超声检查时该肺静脉主干位于超声远场,使得肺静脉主干壁和左心房壁看似隔膜回声,粗大的肺静脉主干看似副房,左房看似真房,从而将两者混淆。可通过肺静脉回流入左心房排除完全性肺静脉异位引流,或通过肺静脉主干连续扫查排除三房心。必要时可行食管超声(TEE)或 CT 增强检查鉴别。
治疗
三房心患者表现有明显临床症状时,手术治疗是唯一有效的治疗方式。
参考文献
[1] 刘开微,任卫东,宋光,等. 超声心动图在左房三房心中的诊断价值及应用[J]. 中国超声学杂志. 2016, 6(32): 514-516.
[2] 贾译清. 临床超声鉴别诊断学[M].江苏:江苏科学技术出版社.1996,261-330.
[3] 李晓峰,刘爱军,朱耀斌,等. 左侧完全型三房心的外科矫治[J].中西医结合心脑血管病杂志. 2014, 06(12): 759-760.

