(发布日期:2018-06-27 点击次数:2295)
文章来源:超声时间 作者:王欣
乳腺钼靶被认为是乳腺癌筛查金标准的一种 X 线成像方式。微钙化是诊断早期乳腺癌重要、可靠的 X 线征象。超声被认为是鉴别乳腺囊性与实性病灶的可靠手段,却不是临床评估可疑微钙化的准确方法。超声萤火虫成像(MicroPure)是一种提高超声对微钙化可视化的新技术,其通过弱化斑点以获取高对比度分辨率及高组织均匀性的图像。美国的 Priscilla 等以钼靶结果为参考标准进行了一项试验性研究,以评估 MicroPure 成像对乳腺术后标本中微钙化的识别能力,并将结果与传统灰阶超声结果进行对比,成果发表在 2018 年第 2 期的 Ultrasound Med Biol 杂志上。
研究纳入了 20 例钼靶证实存在乳腺微钙化并计划对微钙化区进行手术切除的成年女性患者。1 名超声医师采用常规灰阶超声及 MicroPure 成像对患者术后标本进行横切、纵切扫查并采集图像,其中 2 例患者 2 个不同部位被切除活检,因此最终获取 22 例术后标本图像。术后标本接着采用钼靶检查,由 1 名放射科医师统计标本 X 线平片上的微钙化数目。4 名互不知情的医师对 54 幅灰阶超声图像及 54 幅 MicroPure 图像进行分析以确定微钙化的数目,并以 10 分制对图像质量和伪像进行评分。
研究结果显示,所有医师通过 MicroPure 发现微钙化的平均数明显多于灰阶超声,分别为 14.0±12.0 与 3.0±3.2。并且每名医师在 MicroPure 图像观察到的微钙化数均多于灰阶超声图像(图 1)。而钼靶显示的微钙化(平均 27.0±19.2)较灰阶超声或 MicroPure 更多。
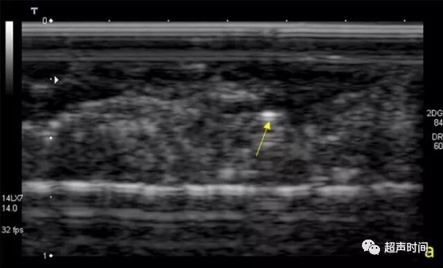
图 1 乳腺术后标本超声图像。图 a 灰阶超声显示一个微钙化灶(箭头);图 b 在 a 中相同区域,MicroPure 显示出数个微钙化灶(箭头)
关于图像质量,MicroPure 图像质量的平均得分高于灰阶超声(6.9:6.0),其中 3 名医师认为 MicroPure 图像质量优于灰阶超声。关于伪像,总体上 MicroPure 图像中的伪像少于灰阶超声图像(7.2:5.3)。其中 3 名医师认为 MicroPure 图像中的 Cooper 韧带伪像较灰阶超声图像少。
作者指出,常规灰阶超声不被认为是检测微钙化的可靠手段。超声很难发现正常乳腺组织内的孤立微钙化,而更容易发现实性肿块内的微钙化,因为正常乳腺组织与微钙化之间缺乏对比,而实性肿块的低回声背景提高了微钙化的可视化。此外,微钙化和 Cooper 韧带超声上均呈强回声,有必要区分 Cooper 韧带伪像与微钙化。MicroPure 成像对乳腺中微钙化的检出能力高于灰阶超声。比较两者的图像质量和伪像,总体上 MicroPure 成像优于灰阶超声。MicroPure 成像在引导未来的乳腺活检中可能具有明显的潜能,但实施之前仍需要更多的研究。

