(发布日期:2018-07-04 点击次数:4385)
肾脏疾病诊断
一.正常肾(normal kindey)
(一) 正常肾二维声像图
正常肾二维声像图有周边的肾轮廓线和肾中央的肾窦回声,二者均为高回声。二者之间的肾实质呈低回声,肾锥体回声较肾皮质回声更低。肾窦内可以见到条状低回声为肾静脉回声(图4-1-1)。膀胱充盈时或大量饮水后,肾盂回声常有轻度分离,但排尿后肾盂分离可减少,正常肾在呼吸时能随呼吸活动。
图4-1-1 正常肾声像图
(二) 正常肾彩色血流图
正常肾彩色血流图可见彩色肾血管树,自主肾动脉、段动脉、叶间动脉、弓状动脉直至小叶间动脉及各段伴行静脉均能显示。彩色血流分布直到肾皮质,呈充满型。然而彩色血流图显示与仪器的彩色灵敏度,患者条件(年龄、胖瘦及个体其他条件)有关(图4-1-2)。
图4-1-2 正常肾彩色血流图
(三) 正常肾测值
正常肾超声测值一般为长度10 ~ 12cm,肾实质厚度1.4 ~ 1.8cm,肾皮质厚度为0.8 ~ 1.0cm。肾的径线测值因断面角度位置不易固定,重复性差,只能大体上反映肾的大小。
二.肾积水(hydronephrosis)
(一) 各型肾积水声像图表现
轻度肾积水,在声像图上出现肾窦分离,肾盂肾盏均有轻度积水,但肾实质厚度和彩色血流不受影响。中度肾积水,肾窦回声中出现无回声区,因各人肾盂肾盏原来形态不同,显示各种形态的肾积水声像图,肾盏积水明显可见(图4-1-3~图4-1-5)。重度肾积水,肾盂肾盏明显扩大,显示各形无回声区,肾实质明显变薄,肾实质内彩色血流明显减少或消失。
对肾积水可用超声向下追踪探测,常能找到梗阻部位和梗阻原因,详见输尿管疾病的诊断。
图4-1-3 肾积水声像图 调色碟型
图4-1-4 肾积水声像图 花朵型
图4-1-5 肾积水声像图 左图为菱角型
(二) 生理性肾窦回声分离与病理性肾积水的鉴别
在生理情况下,膀胱过分充盈和/或大量饮水(或利尿药、解痉剂的应用),可使肾盂内贮有少量尿液,声像图出现肾窦回声分离,在排尿后或等利尿期过后,肾窦回声分离现象消失,有别于因尿路梗阻而引起的肾积水,可以鉴别(图4-1-6)。
图4-1-6 正常肾肾窦回声分离声像图
妊娠妇女常有双侧对称性轻度肾窦回声分离,也属生理现象(属黄体酮作用)。
(三) 临床意义
1.超声诊断肾积水甚为敏感,只要肾盂内有数毫升尿液,就会被超声发现,表现为肾窦回声分离。其优点是早期发现输尿管梗阻,如输尿管结石,在肾绞痛发作时,就会出现肾窦回声分离,帮助作出诊断;其缺点是容易出现假阳性,所以一定要鉴别肾窦回声分离属生理性还是病理性。
2.超声诊断肾积水的优点 (1) 超声诊断肾积水不仅显示肾盂、肾盏、输尿管有无积水和积水程度,而且同时显示肾实质和血流供应情况;(2) 不需造影剂,无碘过敏的禁忌,且对丧失或暂时丧失肾功能者仍能显示。
三.肾囊肿(renal cyst)
(一) 肾囊肿声像图 肾囊肿种类颇多,在声像图中形态各异,容易鉴别。
1. 单纯性肾囊肿(simple renal cyst) 呈圆形的无回声区,囊壁薄而光滑,后方回声增强为其特征,囊肿常向肾表面凸出,其大小不一,巨大者可超过10cm直径,超声能显示的最小囊肿为3mm(图4-1-7)。
图4-1-7 单纯性肾囊肿声像图
2.多房性肾囊肿(multilocular renal cyst) 在无回声的囊内有菲薄的隔,呈条带状高回声,各房中囊液相通(图4-1-8)。
图4-1-8 多房性肾囊肿声像图
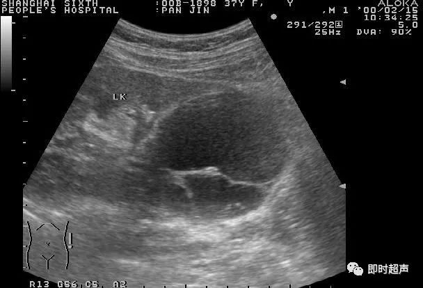
3.肾盂旁囊肿(parapelvic cyst) 位于肾窦回声内,容易压迫肾盂或肾盏,造成肾积水(图4-1-9)。
图4-1-9 肾盂旁肾囊肿声像图
4.肾盂源性囊肿(或称肾盏憩室) 在肾实质内出现无回声区。囊肿不大,约在1~2cm之间,个别有大至5cm者,一般不易与单纯性囊肿区别,除非在囊腔内有砂样结石形成,改变体位时,结石在囊腔内向重力方向移位,声像图显示为一个无回声囊肿,在其重力方向出现彗尾征(tail of comet sign),就容易识别,这种囊肿称为肾钙乳症(milk of calcium),(图4-1-10)。
图4-1-10 肾钙乳症肾囊肿声像图
(二) 临床意义
1.超声诊断肾囊肿有其独到之处,根据声像图容易与实质性肿块鉴别。典型的肾皮质囊肿,不会与囊性肿瘤混淆。
2.单纯性肾囊肿、多房性囊肿、肾盂旁囊肿均可在超声引导下作囊肿穿刺硬化治疗,疗效甚佳,基本一次可以治愈。
四.多囊肾(polycystic kidney)
多囊肾是一种先天性遗传病,有成人型与婴儿型两种,前者为常染色体显性遗传病;后者为常染色体隐性遗传病。
(一) 成人型多囊肾声像图
表现为两肾增大,随病情轻重不同,肾增大程度出入很多,囊的多少和大小也各不相同,囊少而大者病情轻;囊多而小者,病情反而严重。声像图所见往往是全肾布满大小不等囊肿,甚至肾实质回声与肾窦回声都分不清楚。囊肿随年龄的增大而增多增大,囊肿出现愈早,预后愈不佳(图4-1-11)
图4-1-11 成人型多囊肾声像图 囊肿极多,大小不一
(二) 婴儿型多囊肾
发病早,在婴儿期已发病,囊小而极多,声像图往往仅见两肾增大和肾结构失常,出现许多增强光点,而见不到囊肿,预后极差(图4-1-12)
图4-1-12 婴儿型多囊肾标本剖面图 肾增大,囊肿多而小,肉眼不能发现
(三) 临床意义
1. 早期诊断 超声对无症状的成人型多囊肾一级亲属的检查,5岁、15岁、25岁的多囊肾检出率分别为22.2%、65.7%和85.5%,可见超声早期检出多囊肾的一般了,但基因诊断法更早,可在任何年龄确诊此病。
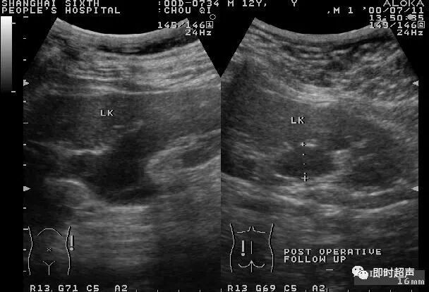
2.对治疗方法的选择提供有价值的参考 根据声像图中囊肿的多少、大小和分布情况,可作为手术治疗和穿刺硬化治疗的参考,中等囊肿多者宜采取手术去顶减压治疗,大囊肿,尤其其位置不在肾表面者,超声引导下穿刺硬化治疗更为适应。
3.手术治疗术后疗效的随访 观察术后肾囊肿缩小或复发情况。
五.肾肿瘤
(一) 肾肿瘤声像图
肾肿瘤声像图比较复杂,因肿瘤组织结构的不同而有变化,大体上可以分为以下五种类型:① 低回声型;② 中等回声型;③ 高回声型;④ 强回声型;⑤ 不均匀回声型。
1.肾细胞癌(renal cell carcincma 简称肾癌)声像图
肾区出现占位性病灶,局部向肾表面隆起或明显凸出,呈圆形或类圆形。肿瘤有包膜回声,内部回声多变。2cm以下肿瘤多为低回声;2 ~ 4cm中等大小肿瘤常为中等回声;3cm大小的肾癌,偶有呈高回声的,出现不均匀回声的肾癌,常因肿瘤内出血或液化所致,见于5cm以上的大肿瘤,肿瘤内见到多个中等回声结节者,对肾癌的诊断很有帮助(图4-1-13,图4-1-14)。
图4-1-13 肾细胞癌声像图 位于上极,低回声型
图4-1-14 肾细胞癌声像图 位于下极,中等回声型
肾癌的彩色血流图有四种表现:①
抱球型 最多见(图4-1-15),肿瘤周边有动脉血流环绕,并有部分动脉进入瘤内,多见于3 ~ 4cm左右中等大小的肿瘤;② 星点型
肿瘤内仅有星点状彩色血流(图4-1-16),多见于2 ~ 3cm肿瘤和4 ~ 5cm肿瘤,也可见于因体胖等原因,致彩色显示差者;③ 少血管型
瘤内很少彩色血流(图4-1-17),多见于1 ~ 2cm小肿瘤和5cm以上大肿瘤;④ 血管丰富型
少见(图4-1-18),瘤内彩色血流丰富,呈火球状,见于3 ~ 4cm左右中等大小的肿瘤。
图4-1-15 肾细胞癌彩色血流图 抱球型
图4-1-16肾细胞癌彩色血流图 星点型
图4-1-17 肾细胞癌彩色血流图 少血管型
图4-1-18肾细胞癌彩色血流图 血管丰富型
2.血管平滑肌脂肪瘤(angiomyolipoma)声像图
血管平滑肌脂肪瘤又称错构瘤(hamartoma),肿瘤无包膜,呈圆形或类圆形高回声或强回声,无声影。肿瘤为单发或多发,且以多发性为多见。大肿瘤常有内部出血,呈不均匀回声,多次内部出血形成洋葱片状图案,容易识别,有利于鉴别诊断。在小肿瘤彩色血流不进入,在大肿瘤,彩色血流图也仅有少量血流进入瘤内(图4-1-19,图4-1-20)
图4-1-19 肾血管平滑肌脂肪瘤声像图
图4-1-20 肾血管平滑肌脂肪瘤声像图 肿瘤内多次出血,形成洋葱片样图案
3.肾母细胞瘤(nephroblastoma)声像图
肾母细胞瘤又称Wilm’s瘤,是儿童的肾实质肿瘤,发现时往往已很大,侵占肾的大部。肿瘤有包膜回声,内部回声欠均匀或呈混合回声型。
4.肾盂移行细胞乳头状癌(transitional cell carcinoma)声像图
表现为肾盏或肾盂内低回声肿块,周边可见到清楚的肾盂壁。如因肿瘤造成尿路梗阻,出现肾积水,肿瘤显示尤为清楚(图4-1-21)。
图4-1-21 肾盂移行细胞乳头状癌声像图
(二) 肾肿瘤转移声像图
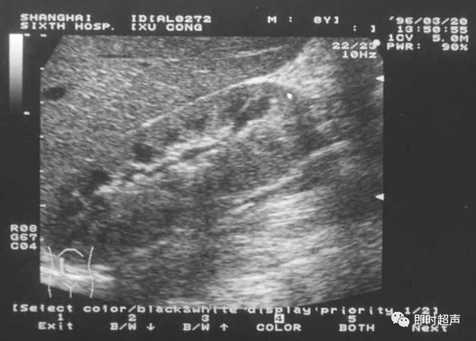
1. 肾肿瘤血行转移者表现为肾静脉栓子形成,肾静脉扩大,充满低回声栓子,肾静脉内彩色血流消失(图4-1-22)。
图4-1-22 肾细胞癌下腔静脉内癌栓声像图
2. 肾门淋巴转移者,在肾门出现低回声肿大淋巴结,呈圆形,常多个融合。患侧肾活动受限,转移广泛者,在腹主动脉旁及锁骨上均探及肿大淋巴结(图4-1-23)
图4-1-23 肾门淋巴结转移声像图
(三) 临床意义
1.超声诊断使肾癌的预后大为改进 超声诊断可发现1cm以上的肾癌,尤其超声体检普查,早期发现肾癌,使许多肾癌在3cm或以下已被发现而切除,使肾癌手术的预后大为改进。
2.超声检查错构瘤有一定的特异性。
3.超声检查肾盂癌还有漏诊 对宽基底而向肾盂凸起不多者,容易漏诊。
4. 对小肾癌的鉴别诊断还有困难 对 < 2cm的小肾癌,常不显示彩色血流,与血管瘤、腺瘤等良性病灶不易鉴别。
5.呼吁婴儿超声体检,使能早期发现肾母细胞瘤。
六.肾结石(renal calculus)
(一) 肾结石声像图
肾结石显示为强回声伴有后方声影,极易识别。3mm的肾结石即可被发现,因结石梗阻而致肾积水者,出现肾盏或肾盂积水声像图(图4-1-24)。
图4-1-24 肾结石声像图
(二) 临床意义
1.超声能检出X线透光的结石 超声检出结石不受其是否透光的影响,对X线和CT不能检出的透光结石,同样能检出。
2.超声能检出≥3mm的结石 X线对3mm小结石一般不能检出,而超声可以检出。
3.鉴别X线片上肾区致密阴影是否为肾结石。
4.术中肾结石的定位,有助手术取石的顺利进行。
5.对多发性肾结石和鹿角形结石观察不如X线平片直观。
七.其他肾脏疾病
超声检查对肾先天性异常(如大小异常、数目异常、位置异常和融合肾)、肾结核、肾外伤、肾感染和肾血管疾病等均能提供有价值的声像图和/或血流动力学参数,帮助诊断。
输尿管疾病诊断
一.正常输尿管(normal ureter)
输尿管为细长管形器官,上起自肾盂输尿管连接部 (pelvic ureteral junction, PUJ),下至膀胱三角区的输尿管出口。在小骨盆入口处与髂血管交叉,跨越髂总动脉前方进入盆腔。
(一) 正常输尿管声像图
正常输尿管要在利尿情况下显示,见到二条平行管壁高回声之间有液性无回声带存在,也即输尿管回声分离。正常输尿管回声分离一般为1 ~ 3mm,在PUJ下方及输尿管出口上方容易见到,且有蠕动,其他部位由于肠道气体干扰等原因,常不能显示。
正常输尿管出口位于膀胱三角的左、右两上角,呈小丘状隆起,有喷尿动作,并可见到喷出的尿流回声,彩色超声显示喷出的尿流尤为明显。
(二) 临床意义
正常输尿管出口和喷尿的显示,有以下四个临床意义:① 可以排除种种输尿管病变;② 三角区定位;③ 籍以测定膀胱肿瘤与输尿管出口的相对位置关系;④ 证明该侧肾脏的存在,并有分泌尿液功能。
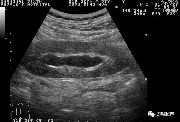
二.输尿管积水或称输尿管扩张(dilated ureter)
(一) 输尿管积水声像图
积水的输尿管纵切面图显示三条回声,即二条平行高回声之间夹有低回声或无回声带。横切面呈圆形,即圆圈形高回声环绕中央的低回声或无回声区。静观片刻,见有蠕动,输尿管积水失去代偿后,不能见到蠕动(图4-2-1)。
图4-2-1 输尿管扩张声像图 远端肿瘤阻塞
(二) 临床意义
1.对输尿管积水的追踪探测,可以作出梗阻部位的梗阻原因(结石、肿瘤、囊肿、狭窄或外来压迫等)的诊断。
2.体胖、肠道充气,影响深部输尿管的显示,为其不足之处。必要时应空腹、肠道准备后检查。
3.对临界病例(输尿管分离在 >3mm ~ <5mm之间者)应在排尿后和利尿作用过后复查,以免出现假阳性。
三.输尿管结石
(一) 输尿管结石声像图
输尿管在肾绞痛发作时,常显示患侧肾盂分离达≥ 8mm,输尿管分离≥ 4mm。向下追踪检查,容易发现输尿管内强回声结石嵌顿,并有后方声影(图4-2-2)。
图4-2-2 输尿管结石声像图
(二) 临床意义
1.声像图呈现输尿管扩张和典型的结石强回声伴有声影者,可以确定为输尿管结石,但是未见到输尿管扩张,也未发现结石强回声者,不能排除输尿管结石的存在。
2.对X线和CT不能显示的透光结石,超声能清楚显示,对3 ~ 5mm的小结石,X线和CT显示常有困难,而超声容易显示。
四.输尿管囊肿(ureterocele)
(一) 输尿管囊肿声像图
输尿管囊肿是一种先天性反常,输尿管出口向膀胱膨出。声像图显示在膀胱三角区输尿管出口处有囊状回声膨出,囊壁纤薄,随输尿管喷尿有增大、缩小改变,出现在一侧或双侧(图4-2-3)。
图4-2-3 输尿管囊肿声像图
(二) 临床意义
早期输尿管囊肿无症状,不会作膀胱镜检查,因此不被发现,晚期病例肾功能已损害,静脉肾盂造影不显影,因此也不能明确诊断。超声对本病不论属哪一期均能容易作出明确诊断,许多早期病例是在超声作妇科检查时或体检时被发现的。
来源:《医学》
版权声明:本文为公益性学习交流平台,欢迎广大粉丝投稿,所转载文章均已标明作者和来源,版权归原创者所有,如有侵权请联系我们妥善处理。

