临床病例分析
(发布日期:2019-02-16 点击次数:4476)
门静脉高压显著致循环障碍时,可引起腹壁静脉曲张:
于脐部可见一簇曲张静脉,以肚脐为中心,向四周放射状伸展,如水母头状,常在此处听到静脉血管杂音。曲张浅静脉的血流方向以脐为中心,流向四方。
下腔静脉阻塞伴侧枝循环形成时:
曲张浅静脉大部分在腹壁两侧,有时在臀部及股部外侧。脐平面以下的腹壁浅静脉血流方向向上。
上腔静脉阻塞伴侧枝循环形成时:
上腹壁或胸壁的浅静脉曲张。曲张浅静脉的血流方向均转向下。
患者女性,25岁,孕3月,因咳嗽和肋下疼痛分别就诊于我院呼吸与危重症医学科及中西医结合科;约1周后因“腹壁浅静脉曲张”就诊我院血管外科,医生嘱行下腔静脉和双侧髂静脉检查。
超声检查显示下腔静脉及双侧髂静脉未见异常。
因为进行体格检查时发现病人对称性的双侧上腹壁浅静脉曲张,遂继续检查双侧颈静脉、锁骨下静脉及头臂静脉。
体格检查如图:
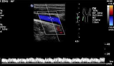
患者双侧颈内静脉张力较高,探头加压时管腔不易压瘪。
双侧颈内静脉失去受心脏搏动影响的搏动性频谱特征。双侧颈内静脉表现为连续带状血流频谱,流速降低,频谱形态略受颈总动脉搏动的影响。
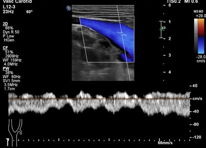
双侧锁骨下静脉、颈外静脉和头臂静脉都为类似的连续低速带状血流频谱。
看一看正常的颈内静脉搏动性频谱形态:
思维分析:
正常颈内静脉频谱受心脏搏动影响具有搏动性。但是当上腔静脉阻塞时,双侧颈内静脉、锁骨下静脉及头臂静脉回流障碍,流速会减慢;心脏的搏动不能影响到上述血管,因此上述血管的频谱形态变得平直,呈低速带状血流频谱。患者会出现面颈部及上肢的肿胀,上腹部会出现曲张的浅静脉,而且浅静脉血流的方向是向下的。
综上表现,超声提示上腔静脉阻塞。
于是临床医生嘱患者进一步做“MRI胸部血管普通扫描”,显示右前中纵膈见中等信号肿块影,约13.7x9.6x11.7cm,实性成分为主,左缘见直径2.3cm的囊性区,肿块侵入上腔静脉及右心房,向左后推挤升主动脉、右肺动脉及左心房,致右肺动脉、右心房变窄,向后推压气管及双侧主支气管,向右推压右肺。MRI诊断提示:右前中纵膈占位,侵入上腔静脉及右心房,累及范围如上述,多系肿瘤。
由于该纵膈占位推压了气管、主支气管和右肺,这就解释了患者为什么因咳嗽症状来就诊。
总结 超声科医生了解腹壁浅静脉曲张的原因,知道腹壁浅静脉曲张的体表分布特点及血流方向是非常必要的,这样才有合理的临床思维去检查及搜索病变,正所谓“想到才能手到!”

