(发布日期:2019-10-08 点击次数:3635)
文章来源:超声技术与诊断
甲状腺腺瘤是甲状腺的常见良性肿瘤,起自腺上皮组织,可分为滤泡型腺瘤、乳头状腺瘤和混合型腺瘤三种,其中以起源于甲状腺滤泡上皮组织的滤泡型腺瘤多见,好发于中青年女性,肿瘤生长较为缓慢,患者一般无自觉症状,若伴有瘤内突发出血时,可出现颈部局部肿大及疼痛。在甲状腺腺瘤中,有20%为功能自主性甲状腺瘤,这部分患者可出现甲状腺功能亢进的症状;约有10%的腺瘤可发生癌变。
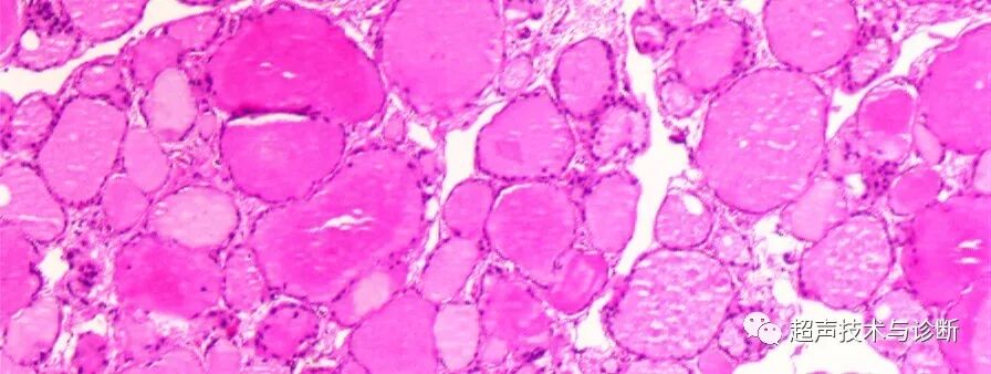
病理上见甲状腺腺瘤呈膨胀性生长,多为单发性结节,形态为圆形或椭圆形,内部以实质成分多见,有完整的包膜,周边可见环绕的血管结构,其切面类似正常甲状腺组织,部分腺瘤内可出现囊性变、出血、坏死、钙化和纤维等改变。
(图1)甲状腺滤泡状腺瘤病理组织图
超声作为甲状腺结节的首要影像学检查方法,那么甲状腺腺瘤有哪些超声表现呢?
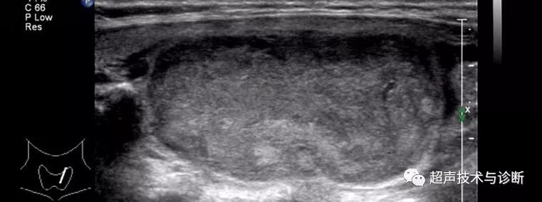
1 甲状腺内圆形或椭圆形均质低回声或等回声结节,一般为单发,边缘规整,周边可见完整包膜,部分结节周边可见厚薄均匀的晕环。
2 若结节内伴有出血、囊性变及纤维化时,结节可呈囊实混合性,内实质部分回声可呈不均匀低回声、等回声及高回声。
3 结节内可有钙化灶,多为粗大强回声斑。
4 CDFI:结节周边声晕处可见环状包绕的血流信号,外周血流多于结节内部血流信号。
5 由于结节周边及内部血供相对丰富,微血管血流灌注较正常甲状腺组织多,因此其造影模式多为结节整体均匀高增强,周边可出现环状增强,大多数表现为“快进慢退”。

(图2)甲状腺滤泡型腺瘤,甲状腺内椭圆形低回声结节,边界清楚




(图3-6)甲状腺滤泡型腺瘤,结节内部及周边均可见较丰富血流,周边可见环状血流信号
总结:甲状腺内良性肿瘤主要有结节性甲状腺肿及甲状腺腺瘤,二者可独立发病,也可以混合存在,其超声表现均有许多相似之处,其鉴别较困难,然根据甲状腺腺瘤的某些发病特点,我们可以做出倾向甲状腺腺瘤的超声诊断,这些特点有:甲状腺腺瘤多为单发结节,其形态规则,多为圆形或椭圆形,边界清楚,周边可有包膜或低回声晕,CDFI见腺瘤周边有血流环绕,周边血流多于内部血流,超声造影相对结节性甲状腺肿,其造影剂进入瘤体时间早于结节性甲状腺肿。呈现出“快进慢出”的增强模式。

